Những kỳ tích không tưởng của thiên tài leo núi Alex Honnold - Kỳ cuối

Để tìm hiểu, Alex Honnold tiếp tục tham gia thí nghiệm thứ hai trong máy quét, gọi là “bài kiểm tra phần thưởng”.

Kỳ cuối: "Áo giáp tinh thần"

Chú thích ảnh
Tại Oman, trên bán đảo Arab, Honnold thực hiện kiểu “deep-water solo”, tức là leo núi mà điểm kết thúc thường là rơi thẳng xuống làn nước bên dưới. Ảnh: nautil.us

Anh có thể thắng hoặc thua những khoản tiền nhỏ (tối đa 22 USD) tùy theo tốc độ bấm nút khi có tín hiệu. “Đây là nhiệm vụ mà chúng tôi biết chắc sẽ kích hoạt rất mạnh hệ thống phần thưởng ở hầu hết mọi người”, Joseph cho biết.

Lần này, bà tập trung vào một cấu trúc não khác: nhân accumbens, nằm không xa hạch hạnh nhân, gần đỉnh thân não. Đây là một trong những trung tâm xử lý dopamine - chất dẫn truyền thần kinh tạo ham muốn và khoái cảm. Theo Joseph, những người tìm kiếm cảm giác mạnh có thể cần kích thích mạnh hơn người thường để đạt được “cú hích” dopamine.

Khoảng nửa giờ sau, Honnold bước ra khỏi máy quét với ánh mắt ngơ ngác, buồn ngủ. Lớn lên ở Sacramento (California), anh nói chuyện thẳng thắn và toát ra một phong thái mâu thuẫn lạ lùng: vô cùng điềm nhiên theo cách rất mãnh liệt. Biệt danh của anh là “No Big Deal” (chuyện nhỏ) và đây cũng chính là đánh giá của anh về hầu hết mọi trải nghiệm. Như đa số cao thủ leo núi, anh có thân hình săn chắc gọn gàng, giống người tập thể dục hơn là lực sĩ. Ngoại lệ là các ngón tay, lúc nào cũng trông như vừa bị kẹt cửa xe và cẳng tay gợi nhớ tới thủy thủ hoạt hình Popeye.

Anh hỏi Joseph: “Nhìn mấy hình đó có được xem là đang chịu căng thẳng không?”. “Những hình đó được dùng khá phổ biến trong ngành để tạo ra phản ứng kích thích tương đối mạnh”, Joseph đáp.

Anh nói: “Vì tôi không dám chắc, nhưng cảm giác của tôi là… cũng bình thường thôi”. Những bức ảnh, kể cả mấy cảnh trẻ em bị thiêu cháy ghê rợn, với anh đều có vẻ cũ kỹ, chai lì. Giống như xem bảo tàng đồ lạ.

Một tháng sau, khi đã nghiên cứu xong kết quả quét não, Joseph gọi video tới Thượng Hải, nơi Honnold đang trên hành trình leo núi và lần này có dùng dây ở vòm đá Great Arch ở Getu, phủ đầy thạch nhũ. “Những hình ảnh não đó rốt cuộc có nghĩa là gì?”, Honnold hỏi khi nhìn vào các ảnh fMRI đầy màu sắc mà Joseph gửi. Joseph cho biết não Honnold vẫn ổn và rất thú vị.

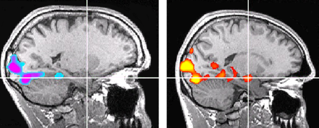
Ngay cả với người không chuyên, lý do khiến Joseph quan tâm cũng khá rõ. Joseph dùng một đối chứng: một vận động viên leo núi nam cùng độ tuổi, cũng là người tìm kiếm cảm giác mạnh. Giống Honnold, người này mô tả các nhiệm vụ trong máy quét là cực kỳ nhạt nhẽo. Thế nhưng trên ảnh fMRI phản ứng với các hình ảnh kích thích mạnh, vùng hạch hạnh nhân của đối chứng sáng rực màu tím điện, như biển quảng cáo neon. Còn của Honnold thì xám xịt. Không có chút hoạt động nào.

Chú thích ảnh
Ảnh quét so sánh não bộ của Honnold (trái) với một đối chứng (phải). Dấu chữ thập chỉ hạch hạnh nhân, một nhóm nhân não liên quan tới việc tạo ra phản ứng sợ hãi. Khi cả hai cùng nhìn vào những hình ảnh kích thích giống nhau, hạch hạnh nhân của đối chứng phát sáng, trong khi của Honnold vẫn trơ lì, hoàn toàn không có hoạt động. Ảnh: Jane Joseph

Chuyển sang ảnh của bài kiểm tra phần thưởng bằng tiền: một lần nữa, hạch hạnh nhân và nhiều vùng não khác của đối chứng “sáng lên như cây thông Noel”, theo lời Joseph. Trong não Honnold, hoạt động duy nhất nằm ở các vùng xử lý thị giác chỉ xác nhận rằng anh vẫn tỉnh và đang nhìn màn hình. Phần còn lại của não là đen trắng, tĩnh lặng.

Honnold trầm ngâm: “Có vẻ như não tôi chẳng hoạt động mấy. Nó cứ… không phản ứng”.

Để chắc rằng mình không bỏ sót điều gì, Joseph đã hạ thấp ngưỡng thống kê. Cuối cùng bà tìm được đúng một voxel (đơn vị thể tích não nhỏ nhất mà máy quét ghi nhận) sáng lên ở hạch hạnh nhân. Nhưng ở mức đó, dữ liệu thật không thể phân biệt với sai số. “Ở bất kỳ ngưỡng hợp lý nào, cũng không có hoạt động của hạch hạnh nhân”, bà nói.

Liệu điều tương tự có xảy ra khi Honnold leo không dây trong những tình huống khiến hầu như bất kỳ ai khác cũng hoảng loạn? Joseph nói rằng đó chính xác là điều bà tin đang diễn ra. Khi không có kích hoạt, bà cho rằng có lẽ cũng không có phản ứng trước mối đe dọa. Honnold thực sự có một bộ não phi thường và rất có thể anh thật sự không hề sợ hãi khi ở trên đó.

Dù vậy, khảo sát tính cách lại cho thấy một dấu hiệu cảnh báo. Bất chấp sự điềm tĩnh và tập trung phi thường khi leo, Honnold thể hiện mức độ khẩn cấp và mất ức chế cao hơn mức trung bình của nhóm tìm kiếm cảm giác mạnh, cho thấy rằng anh có xu hướng bốc đồng rủi ro.

Honnold luôn bác bỏ ý kiến nói rằng anh không biết sợ, dù với thế giới bên ngoài, anh được nhìn nhận là hiện thân của sự bình thản siêu phàm khi treo mình bằng đầu ngón tay trên lằn ranh sinh tử. Nhưng hơn một thập kỷ trước, khi 19 tuổi, không ai chứng kiến khoảnh khắc anh đứng dưới chân tuyến leo núi không dây lớn đầu tiên trong đời: Corrugation Corner, gần hồ Tahoe, California. Trên thang điểm độ khó của giới leo núi, Corrugation Corner chỉ là 5.7, tức là thấp hơn trình độ tối đa của anh lúc đó hơn 15 bậc.

Để leo một mình trên tuyến đó, trước hết anh phải muốn làm điều đó. “Tôi nghĩ điểm độc đáo không phải là khả năng leo không dây của tôi, mà là việc tôi thực sự muốn làm điều đó”, Honnold nói.

Nói cách khác, anh là hình mẫu điển hình của người tìm kiếm cảm giác mạnh. Cùng ngày chui vào máy MRI, Honnold cũng trả lời các bảng khảo sát đo mức độ tìm kiếm cảm giác. Anh được hỏi đồng ý hay không với các câu như: Tôi thích cảm giác trượt tuyết rất nhanh xuống sườn núi cao (“Tôi mê trượt nhanh xuống dốc”); Tôi thích nhảy dù (“Tôi đã học nhảy dù”); Tôi thích tự mình khám phá một thành phố hay khu phố lạ, kể cả có thể bị lạc (“Đó là cuộc sống hằng ngày của tôi”).

Không có chút hoạt động nào được ghi nhận ở trung tâm sợ hãi trong não Honnold. Thế nhưng, trên Corrugation Corner, Honnold đã sợ, sợ thật sự. Anh bám chặt những điểm tựa lớn và dễ. Dĩ nhiên, anh không bỏ cuộc sau trải nghiệm đầu tiên đó. Thay vào đó, Honnold khoác lên mình thứ anh gọi là “áo giáp tinh thần” và vượt qua ngưỡng sợ hãi hết lần này đến lần khác.

Dần dần, những việc từng khiến anh thấy điên rồ bắt đầu trở nên không quá điên rồ nữa: những động tác chỉ treo người bằng đầu ngón tay, chân đung đưa trong không trung; hay như trên tuyến nổi tiếng The Complete Scream, leo không dây một chặng mà anh chưa từng leo trước đó. Trong 12 năm leo núi, Honnold từng làm gãy điểm bám, trượt chân, đi lạc vào địa hình chưa biết, bị chim hay kiến làm bất ngờ, hoặc đơn giản là cảm giác khi ở giữa khoảng không quá lâu. Nhưng vì anh xử lý được những tình huống này, nỗi lo của anh về chúng dần bị bào mòn.

Với Marie Monfils, lãnh đạo Phòng thí nghiệm Ký ức Sợ hãi Monfils tại Đại học Texas ở Austin, quá trình của Honnold là cách tiếp cận kiểu mẫu để đối phó với nỗi sợ. Cho tới gần đây, phần lớn các nhà tâm lý tin rằng ký ức, kể cả ký ức sợ hãi, sẽ cố kết và không thể thay đổi ngay sau khi hình thành. Trong vài chục năm trở lại đây, quan điểm này đã thay đổi. Nghiên cứu cho thấy mỗi lần ta nhớ lại một ký ức, nó sẽ được “tái cố kết”, tức ta có thể thêm thông tin mới hoặc cách diễn giải khác, thậm chí biến ký ức sợ hãi thành không sợ hãi.

Honnold ghi chép rất chi tiết nhật ký leo núi, nơi anh xem lại các chặng leo và ghi chú những điểm có thể làm tốt hơn. Với các lần leo khó nhất, anh dành rất nhiều thời gian chuẩn bị: tập lại động tác và sau đó hình dung từng chuyển động được thực hiện hoàn hảo. Để chuẩn bị cho một lần leo cao vài trăm mét, anh thậm chí hình dung mọi thứ có thể xảy ra, kể cả tình huống mất kiểm soát, rơi xuống và chảy máu chết trên đá bên dưới, để chấp nhận những khả năng đó trước khi rời mặt đất. Anh hoàn thành chặng leo Moonlight Buttress khoảng 13 năm sau khi bắt đầu leo núi và bốn năm sau khi bắt đầu leo kiểu free solo.

Không thể quay ngược thời gian để quét não Honnold trước khi anh bước vào con đường leo núi, nên không ai biết chính xác bao nhiêu phần là bẩm sinh, bao nhiêu phần là rèn luyện. Nhưng có vài khả năng có thể loại trừ.

Joseph LeDoux, nhà khoa học thần kinh tại Đại học New York, người nghiên cứu phản ứng của não với mối đe dọa từ thập niên 1980, cho biết ông chưa từng nghe về ai sinh ra với hạch hạnh nhân bình thường như của Honnold mà lại không có dấu hiệu kích hoạt. Trước giả thuyết của Honnold rằng có thể “đốt cháy” hạch hạnh nhân vì quá kích thích, LeDoux nói: “Tôi không nghĩ điều đó có thể xảy ra”. Tuy vậy, khi nghe nói rằng hạch hạnh nhân hoàn toàn không hoạt động ở Honnold trong các nhiệm vụ quét, phản ứng của LeDoux là: “Nghe khá ấn tượng”.

Theo LeDoux, có sự khác biệt di truyền giữa các cá nhân ở mọi phần của não, nên có thể đoán rằng hệ thống phản ứng trước mối đe dọa của Honnold ngay từ đầu đã ở mức điềm tĩnh hơn phổ chung. Điều này giải thích vì sao khi còn trẻ, anh nhìn thấy sức hấp dẫn mạnh mẽ, chứ không phải hiểm họa chết người, trong những bức ảnh của các thần tượng leo núi không dây. Nhưng quan trọng không kém là bộ não anh đã tự “đấu dây” lại qua hàng nghìn giờ chấp nhận rủi ro. “Não anh ấy có lẽ vốn đã ít phản ứng với các mối đe dọa mà người khác sẽ tự nhiên phản ứng mạnh, đơn giản vì những lựa chọn anh ấy đã đưa ra”, LeDoux nói.

Di truyền đóng vai trò rõ ràng hơn trong các đặc điểm tính cách thúc đẩy sở thích leo núi không dây của Honnold. Tìm kiếm cảm giác mạnh được cho là có tính di truyền một phần và có thể truyền từ cha mẹ sang con cái. Đặc điểm này liên quan tới mức lo âu thấp hơn và phản ứng cùn hơn trước các tình huống tiềm ẩn nguy hiểm.

Nhận thức mới về bộ não khác thường của mình có ảnh hưởng tới cách Honnold nhìn nhận bản thân hay không?

Joseph cho rằng Honnold là người tìm kiếm cảm giác mạnh ở mức rất cao. So với dữ liệu trong phòng thí nghiệm của Joseph, Honnold có mức tìm kiếm cảm giác mạnh gấp đôi người trung bình và cao hơn tới 20% so với mức trung bình của nhóm tìm kiếm cảm giác mạnh. Theo Joseph, lời giải thích hợp lý nhất cho đường thẳng hạch hạnh nhân của anh trong máy quét là: các nhiệm vụ bà đưa ra đơn giản là chưa đủ “đô”.

Việc gần như toàn bộ não Honnold không kích hoạt trong bài kiểm tra phần thưởng phù hợp với giả thuyết rằng người tìm kiếm cảm giác mạnh cần kích thích rất mạnh để “đẩy” mạch dopamine khiến trải nghiệm trở nên đáng giá. Một hệ quả có thể là theo đuổi cảm giác mạnh không hồi kết như trong trường hợp lạm dụng chất hay cờ bạc, góp phần dẫn tới nghiện và lệ thuộc.

Theo nghĩa đó, Joseph nói rằng Honnold có thể “nghiện leo núi” và cơn đói cảm giác có thể đẩy anh ngày càng sát giới hạn. Đồng thời, một phẩm chất định hình phong cách leo không dây của anh là tính tận tâm và chuẩn bị kỹ lưỡng. Nguy cơ lớn nhất với Honnold có thể nằm ở sự căng kéo giữa hai thôi thúc đối lập này.

Thùy Dương/Báo Tin tức và Dân tộc
Cụ ông 102 tuổi lập kỷ lục thế giới leo núi Phú Sĩ
Cụ ông 102 tuổi lập kỷ lục thế giới leo núi Phú Sĩ

Một nhà leo núi người Nhật Bản, cụ Kokichi Akuzawa, 102 tuổi, vừa được Sách Kỷ lục Guinness công nhận là người cao tuổi nhất chinh phục đỉnh núi Phú Sĩ (3.776 m). Dù thành tích ấn tượng, cụ Akuzawa khiêm tốn cho rằng đây “không có gì đặc biệt” vì trước đó đã nhiều lần leo lên ngọn núi này. Cách đây 6 năm, ở tuổi 96, cụ đã leo lên đỉnh núi nổi tiếng thế giới này. 

Chia sẻ:

doanh nghiệp - Sản phẩm - Dịch vụ

Các đơn vị thông tin của TTXVN