Ho kéo dài, người phụ nữ phát hiện khuyên mũi mắc kẹt trong phổi

Một phụ nữ Mexico đã trải qua cú sốc lớn khi phát hiện cơn ho dai dẳng suốt nhiều tuần của mình bắt nguồn từ… chiếc khuyên mũi mắc kẹt sâu trong phổi.

Chú thích ảnh
Người phụ nữ xỏ khuyên mũi. Ảnh minh hoạ: O.C

Theo trang Oddity Central (Anh), Monica Deyanira Cabrera Barajas, 26 tuổi, bắt đầu bị ho khó chịu kéo dài khoảng một tháng rồi mới quyết định đi khám. Cô nghĩ rằng phim chụp X-quang sẽ chỉ ra một vấn đề hô hấp thông thường, nhưng hoàn toàn không ngờ thứ xuất hiện trên ảnh lại chính là chiếc khuyên mũi.

Trong một video đăng trên TikTok thu hút hàng triệu lượt xem, Deyanira cho biết ban đầu cô thậm chí không nhận ra chiếc khuyên ở vách ngăn mũi đã biến mất. Và khi phát hiện ra, cô cũng chưa từng nghĩ rằng mình có thể vô tình hít phải nó.

“Giả thuyết duy nhất của tôi - cũng là điều tôi nói với bác sĩ chuyên khoa phổi - là tôi đã ngủ thiếp đi, viên bi nhỏ ở đầu khuyên rơi ra, và mọi chuyện bắt đầu từ đó. Tôi nằm ngửa, không hề hay biết, và rồi mọi thứ diễn ra ngoài tầm kiểm soát”, cô Deyanira chia sẻ với Creatorzine.

Từ ngỡ ngàng, cô nhanh chóng chuyển sang lo sợ khi các bác sĩ cho biết chiếc khuyên kim loại dạng vòng chỉ cách động mạch chủ khoảng 0,5 mm. Cô Deyanira lập tức được chỉ định phẫu thuật khẩn cấp. Tuy nhiên, ca mổ dự kiến kéo dài 20 phút lại kéo dài gần một tiếng rưỡi và không thành công.

“Ca mổ kéo dài khoảng 1 giờ 20 phút nhưng họ vẫn không lấy nó ra được vì nó đã bám vào cơ thể tôi”, Deyanira nói và cho biết sau đó cô phải thực hiện thêm một ca phẫu thuật thứ hai phức tạp hơn.

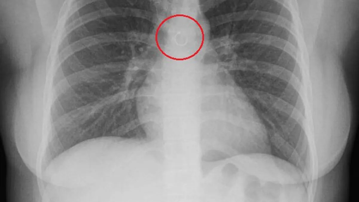
Chú thích ảnh
Ảnh chụp X-quang cho thấy chiếc khuyên mũi mắc kẹt trong phổi. Ảnh: O.C

May mắn, ca mổ thứ hai đã thành công. Các bác sĩ nhận định cô cực kỳ may mắn khi còn sống. Nếu chiếc khuyên kim loại làm thủng phổi hoặc mạch máu lớn nhất cơ thể, hậu quả có thể là xẹp phổi hoặc vỡ động mạch chủ - những biến chứng có nguy cơ tử vong cao.

“Tôi rất thích xỏ khuyên và từng rất yêu chiếc khuyên ở vách ngăn mũi, nhưng với trải nghiệm kinh hoàng này, tôi sẽ không làm lại nữa”, cô Deyanira nói.

Về nguyên nhân khiến chiếc khuyên rơi khỏi vị trí và “lạc” vào phổi, cô cho rằng một chốt chặn kim loại đã tuột ra khi cô ngủ. Trong tư thế nằm ngửa, chiếc khuyên có thể trượt xuống cổ họng và bị hít vào mà cô không hề hay biết.

Vân Khánh/Báo Tin tức và Dân tộc
Phát hiện vít kim loạt mắc kẹt trong mũi cậu bé 7 tuổi suốt 2 năm
Phát hiện vít kim loạt mắc kẹt trong mũi cậu bé 7 tuổi suốt 2 năm

Cậu bé 7 tuổi ở Trung Quốc đã phàn nàn với cha mẹ rằng cậu thường xuyển ngửi thấy mùi khó chịu bí ẩn suốt hai năm qua.

Chia sẻ:

doanh nghiệp - Sản phẩm - Dịch vụ

Các đơn vị thông tin của TTXVN