Người đàn ông mắc căn bệnh cực hiếm trên thế giới, 7 năm liền 'ăn vào nôn ra'

Ngày 28/2, Bệnh viện FV cho biết vừa chẩn đoán và điều trị thành công một trường hợp giãn tá tràng khổng lồ vô căn (Idiopathic Megaduodenum). Đây là bệnh lý cực hiếm, y văn thế giới mới ghi nhận khoảng 15 ca và cũng là trường hợp đầu tiên được ghi nhận điều trị tại Việt Nam.

Đó là trường hợp bệnh nhân Y.C.S. (42 tuổi, quốc tịch Campuchia), nhập viện trong tình trạng nguy kịch nôn ra máu, sốc do thiếu máu và thiếu dịch, cơ thể suy kiệt, bụng chướng to bất thường.

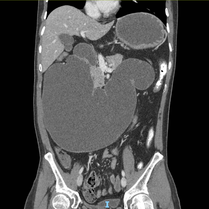
Kết quả chụp cắt lớp vi tính (CT scan) cho thấy, dạ dày và tá tràng giãn cực đại, chiếm gần toàn bộ khoang bụng. Bệnh nhân được hồi sức tích cực, truyền máu và ổn định huyết động. Khi đặt ống thông dạ dày, các bác sĩ đã hút ra hơn 5 lít dịch ứ đọng trong dạ dày và tá tràng của người bệnh.

Chú thích ảnh
Hình ảnh chụp cắt lớp vi tính: Tá tràng giãn khổng lồ chiếm gần hết khoang bụng. Ảnh: BV

Ghi nhận bệnh sử cho thấy, bệnh nhân Y.C.S có tiền sử buồn nôn và nôn ói kéo dài suốt 7 năm, tình trạng “ăn vào nôn ra” khiến sức khỏe của bệnh nhân bị suy giảm dần. Một tháng trước khi nhập viện, bệnh nhân từng được phẫu thuật tại một cơ sở y tế khác song triệu chứng không thuyên giảm mà tiếp tục diễn tiến nặng hơn.

Trước ca bệnh phức tạp, bệnh viện tổ chức hội chẩn liên chuyên khoa. Theo ThS.BS.CKII Phan Văn Thái, Trưởng khoa Ngoại Tổng quát, tình trạng nôn ra máu được xác định do viêm lan tỏa dạ dày - tá tràng xuất huyết qua nội soi cấp cứu và đã được kiểm soát bằng điều trị nội khoa. Tuy nhiên, điều khiến ê-kíp đặc biệt trăn trở là tình trạng giãn lớn bất thường của dạ dày và tá tràng.

Bác sĩ Thái cho biết, tá tràng vốn chỉ dài khoảng 25cm, ở trạng thái bình thường có kích thước tương đương ngón tay và chỉ giãn nhẹ khi thức ăn đi qua. Riêng ở bệnh nhân này, tá tràng giãn "khổng lồ" với đường kính lên tới 12cm, chu vi 38cm to như một ống tay áo, gần như chiếm trọn ổ bụng và mất hoàn toàn chức năng co bóp, khiến thức ăn bị ứ đọng kéo dài, không thể xuống ruột non.

Chú thích ảnh
Bác sĩ Phan Văn Thái và ê-kíp thực hiện ca phẫu thuật. Ảnh: BV

Ban đầu, các bác sĩ nghi ngờ bệnh nhân tắc ruột do biến chứng vết mổ cũ. Tuy nhiên, sau khi làm các khảo sát nội soi, chụp cắt lớp vi tính, nguyên nhân này được loại trừ. Một chi tiết đáng chú ý là sau 3 ngày đặt ống thông mũi - dạ dày - tá tràng, dạ dày bệnh nhân đã xẹp và co nhỏ rõ rệt, thế nhưng tá tràng vẫn giãn cực đại, dính vào các cơ quan xung quanh và không hề co bóp.

Chi tiết này giúp bác sĩ nhận định vấn đề nằm ở chính tá tràng. Sau khi loại trừ các nguyên nhân thường gặp, ê-kíp đưa ra chẩn đoán cuối cùng: Bệnh nhân bị giãn tá tràng khổng lồ vô căn. Theo y văn, phương pháp điều trị tối ưu là cắt bỏ hoàn toàn đoạn tá tràng bệnh lý và tái tạo lại đường tiêu hóa. Đây là một trong những phẫu thuật phức tạp của ngoại khoa tiêu hóa vì tá tràng nằm ôm quanh đầu tụy - nơi hợp lưu của đường mật và đường tụy, đồng thời có nhiều mạch máu lớn đi qua. Chỉ một sai sót nhỏ có thể gây tổn thương mạch máu hoặc rò rỉ dịch tiêu hóa, đặc biệt là dịch tụy có khả năng “tiêu hóa” chính mô cơ thể.

Theo đó, khi thực hiện phẫu thuật, bác sĩ Phan Văn Thái và ê-kíp đã bóc tách toàn bộ tá tràng dính chặt vào các cơ quan xung quanh, cắt bỏ đoạn dị dạng, đồng thời sử dụng hai đoạn ruột non lành để tái cấu trúc hệ tiêu hóa. "Một đoạn ruột non được nối trực tiếp với dạ dày để dẫn thức ăn xuống ruột. Đoạn còn lại được nối với phần tá tràng còn bảo tồn để dẫn dịch mật và dịch tụy theo đúng sinh lý, tạo nên một “ngã ba tiêu hóa” hoàn toàn mới thay thế cho tá tràng đã mất chức năng suốt 7 năm qua", bác sĩ Thái cho biết thêm.

Sau phẫu thuật, bệnh nhân có thể ăn uống bình thường, không còn nôn ói. Hình ảnh kiểm tra cho thấy hệ tiêu hóa tái tạo hoạt động tốt, không còn tình trạng ứ đọng. Gần 3 tuần sau mổ, bệnh nhân Y.C.S được xuất viện.

Đan Phương/Báo Tin tức và Dân tộc
Phẫu thuật loại bỏ 2 khối u quái hiếm gặp cho nữ bệnh nhân
Phẫu thuật loại bỏ 2 khối u quái hiếm gặp cho nữ bệnh nhân

Ngày 28/2, các bác sĩ Bệnh viện Đa khoa TTH (Quảng Trị) vừa phẫu thuật loại bỏ 2 khối u quái hiếm gặp cho nữ bệnh nhân Đ.T.R. (66 tuổi, trú xã Minh Hóa, tỉnh Quảng Trị).

Chia sẻ:

doanh nghiệp - Sản phẩm - Dịch vụ

Các đơn vị thông tin của TTXVN