Lần đầu tiên Việt Nam ứng dụng robot điều trị phổi biệt lập hiếm gặp

Ngày 2/3, Bệnh viện Bình Dân (TP Hồ Chí Minh) cho biết vừa thực hiện thành công ca phẫu thuật robot cắt thùy dưới phổi trái điều trị bệnh lý phổi biệt lập nội thùy hiếm gặp. Đây là trường hợp phổi biệt lập được điều trị bằng phẫu thuật robot đầu tiên được báo cáo tại Việt Nam.

Người bệnh là ông N.N.T (56 tuổi, ngụ tỉnh Tây Ninh), tình cờ phát hiện tổn thương thùy dưới phổi trái khi khám sức khỏe tổng quát. Qua thăm khám và chẩn đoán, các bác sĩ xác định ông mắc phổi biệt lập nội thùy với khối kích thước 23 mm × 26 mm.

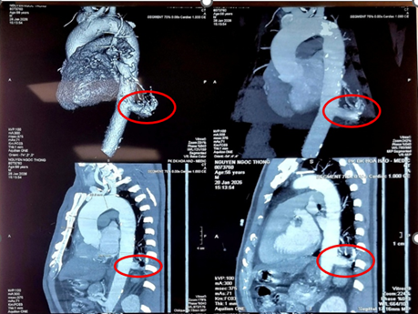
Chú thích ảnh
MSCT ngực cho thấy phổi biệt lập nội thùy trong thùy dưới phổi trái, có nhánh mạch máu nuôi lớn xuất phát từ động mạch chủ ngực. Ảnh: BV

Đáng chú ý, động mạch nuôi khối này xuất phát trực tiếp từ động mạch chủ ngực xuống có kích thước rất lớn với đường kính 17 mm, tiềm ẩn nguy cơ biến chứng nếu không được phát hiện và xử trí kịp thời.

ThS.BSCKII Nguyễn Văn Việt Thành, Trưởng khoa Ngoại Lồng ngực - Bướu cổ, người trực tiếp thực hiện ca mổ cho biết, khó khăn lớn nhất là phẫu tích nhánh động mạch nuôi có kích thước lớn, mạch máu to, dễ vỡ và rất dính do tình trạng nhiễm trùng mạn tính xung quanh. Do đó, chỉ một sai sót nhỏ cũng có thể dẫn đến biến cố chảy máu không thể kiểm soát.

Trước đặc điểm bệnh lý phức tạp, bệnh viện đã hội chẩn toàn viện và quyết định lựa chọn phương pháp phẫu thuật robot. Hệ thống robot cung cấp hình ảnh 3D độ phân giải cao, hỗ trợ phóng đại trường mổ, giúp nhận diện rõ các cấu trúc mạch máu bất thường. Các cánh tay robot có khả năng cử động linh hoạt, hỗ trợ thao tác bóc tách và xử lý mạch máu chính xác, đồng thời hạn chế rung tay trong quá trình phẫu thuật.

Sau 120 phút phẫu thuật với sự hỗ trợ của robot, ê-kíp đã cắt trọn phần phổi biệt lập, không ghi nhận biến chứng chảy máu và không tổn thương động mạch chủ ngực xuống. Nhờ không phải banh sườn và các đường rạch nhỏ, người bệnh ít đau sau mổ, giảm mất máu và rút ngắn thời gian nằm viện. Sau 4 ngày, ông T. hồi phục ổn định và được xuất viện.

Theo các bác sĩ, phổi biệt lập (Bronchopulmonary Sequestration - BPS) là dị tật bẩm sinh hiếm gặp, chiếm khoảng 0,15% đến 6,4% các dị tật phổi. Bệnh gồm hai thể: nội thùy (khoảng 75%) và ngoại thùy (25%), thường gặp ở thùy dưới phổi trái. Đây là phần mô phổi phát triển bất thường từ thời kỳ phôi thai, không thông với đường dẫn khí bình thường và không tham gia chức năng hô hấp, tỷ lệ nam giới mắc cao gấp 3 lần nữ giới.

Chú thích ảnh
Người bệnh có thể đi lại từ ngày hậu phẫu thứ nhất. Ảnh: BV

ThS.BSCKII Nguyễn Văn Việt Thành cho biết, điểm nguy hiểm nhất của phổi biệt lập chính là nguồn máu nuôi dưỡng. Thay vì nhận máu từ động mạch phổi như bình thường, khối mô này lại “ăn bám” trực tiếp vào các động mạch hệ thống. Nếu không được phát hiện và điều trị kịp thời, khối phổi biệt lập này có thể làm người bệnh tử vong bất cứ lúc nào. Áp lực máu cực cao từ động mạch chủ đổ vào các mạch máu nhỏ, yếu ớt của khối biệt lập có thể gây ra những biến chứng như: ho ra máu, xuất huyết trong lồng ngực, nhiễm trùng tái phát, áp xe phổi hoặc suy tim do luồng thông bất thường. Y văn cũng ghi nhận nguy cơ thoái hóa ác tính trên nền mô phổi biệt lập.

Theo bác sĩ Nguyễn Văn Việt Thành, phẫu thuật là phương pháp điều trị triệt để đối với phổi biệt lập, đặc biệt khi chưa xảy ra biến chứng. Việc điều trị cần có sự phối hợp của nhiều chuyên khoa như gây mê hồi sức, chẩn đoán hình ảnh và phẫu thuật mạch máu và nên được thực hiện tại các cơ sở ngoại khoa chuyên sâu.

Theo khuyến cáo, người có biểu hiện viêm phổi tái diễn tại một vị trí cố định, ho ra máu hoặc phát hiện bất thường ở phổi qua khám sức khỏe nên đến cơ sở y tế chuyên khoa để được thăm khám. Các phương tiện chẩn đoán hình ảnh như chụp cắt lớp vi tính đa dãy (MSCT) có thể hỗ trợ phát hiện phổi biệt lập.

Đan Phương/Báo Tin tức và Dân tộc
Bệnh viện Bình Dân hướng tới trung tâm đào tạo phẫu thuật robot của khu vực
Bệnh viện Bình Dân hướng tới trung tâm đào tạo phẫu thuật robot của khu vực

Ngày 28/2, Bệnh viện Bình Dân (TP Hồ Chí Minh) tổ chức Lễ kỷ niệm 70 năm Hành trình Ngoại khoa, đón nhận Huân chương Lao động hạng Nhì và đưa vào vận hành Tòa nhà Trung tâm với tổng vốn đầu tư hơn 340 tỷ đồng.

Chia sẻ:

doanh nghiệp - Sản phẩm - Dịch vụ

Các đơn vị thông tin của TTXVN