Xuyên đêm cấp cứu du khách Nga bị đa chấn thương nặng

Các bác sĩ của Bệnh viện Nhân Dân 115 vừa phối hợp cấp cứu và phẫu thuật thành công cho một du khách người Nga bị đa chấn thương nặng do tai nạn giao thông trong thời gian du lịch tại Việt Nam.

Trước đó, đêm 10/1, anh O.G. (sinh năm 1989, quốc tịch Nga) được đưa vào Bệnh viện Nhân Dân 115 trong tình trạng đa chấn thương, khó thở nhiều, đau ngực phải kèm đau vai phải, biểu hiện suy hô hấp tiến triển.

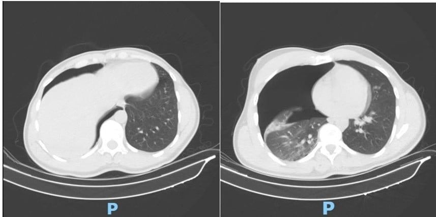
Chú thích ảnh
Phim CT scan lồng ngực sáng ngày nhập viện ghi nhận tràn khí màng phổi phải lượng nhiều. Ảnh: BV

Ngay khi nhập viện, bệnh nhân O.G được chụp CT scan lồng ngực - mạch máu khẩn cấp. Kết quả ghi nhận tràn khí màng phổi phải lượng nhiều gây chèn ép phổi; gãy cung bên xương sườn 2, 3, 4 phải; gãy phức tạp 1/3 giữa xương đòn phải, di lệch nhiều, có mảnh rời.

Trước nguy cơ suy hô hấp tiến triển, vào 5 giờ sáng cùng ngày, ê-kíp khoa Phẫu thuật Tim - Lồng ngực - Mạch máu đã tiến hành phẫu thuật đặt dẫn lưu màng phổi phải cấp cứu do TS.BS Đồng Đức Hưng trực tiếp thực hiện. Thủ thuật được tiến hành khẩn trương, chính xác, giúp phổi nở lại tốt, tình trạng hô hấp của người bệnh cải thiện rõ rệt sau vài giờ.

Sau 2 ngày điều trị hậu phẫu, khi tình trạng hô hấp đã ổn định, người bệnh được rút ống dẫn lưu và chuyển sang Khoa Điều trị theo yêu cầu - Y học thể thao để tiếp tục xử trí chấn thương xương đòn.

Tại đây, sau khi hội chẩn cùng bác sĩ gây mê hồi sức, bệnh nhân được đánh giá đủ điều kiện thực hiện phẫu thuật kết hợp xương đòn phải bằng nẹp vít. Ca mổ do BS.CKII Trần Văn Dương và BS Phạm Ngọc Huy thực hiện. Phẫu thuật diễn ra thuận lợi, nẹp vít được đặt vững chắc, trục xương phục hồi giải phẫu. Sau mổ, bệnh nhân hồi phục, vận động tay phải cải thiện và xuất viện sau 4 ngày điều trị tại khoa trong tình trạng sức khỏe ổn định.

Đại diện Bệnh viện Nhân Dân 115 cho biết, trong thời gian điều trị, dù gặp rào cản ngôn ngữ và xa gia đình, bệnh nhân nhận được sự hỗ trợ từ đội ngũ y bác sĩ và điều dưỡng bệnh viện trong quá trình giải thích tình trạng bệnh, chăm sóc hậu phẫu và hướng dẫn vận động phục hồi chức năng. Trước khi xuất viện, bệnh nhân bày tỏ sự hài lòng và gửi lời cảm ơn đến tập thể nhân viên y tế Bệnh viện Nhân Dân 115.

Đan Phương/Báo Tin tức và Dân tộc
Ấm lòng những chuyến xe yêu thương đưa bệnh nhân về quê đón Tết
Ấm lòng những chuyến xe yêu thương đưa bệnh nhân về quê đón Tết

Từ rạng sáng 11/2 (24 tháng Chạp), khu vực tiền sảnh Bệnh viện Trung ương Huế rộn ràng tiếng nói cười. Người bệnh và người thân háo hức chuẩn bị lên đường về quê đón Tết.

Chia sẻ:

doanh nghiệp - Sản phẩm - Dịch vụ

Các đơn vị thông tin của TTXVN